
Our First Pre-Announcement.
Welcome to the Animal Neurology Center (ANC) pre-opening announcement page! You’ve been wondering, when are we opening??? We have a date, NOVEMBER 1! Until then, we are excited to bring you weekly updates on our progress, including news about our building, our dedicated team, our valued partners, and our future patients. Stay tuned for updates as we prepare to offer high-level care and advanced training right here in St. Louis. We look forward to sharing this journey with you!
Our Building
The Animal Neurology Center (ANC) is more than just a hospital, and our recent addition proves it. 11652 Studt Ave. in Creve Coeur, formerly a human gynecologic oncology center, has been completely renovated to ideally accommodate the workflow of an animal neurosurgical facility. While the 6,100 square feet of space is ample for our staff and patients, our ambition goes beyond care—we are committed to training the future of veterinary medicine. That’s why we’ve added a 1,100-square-foot extension dedicated solely to education. From veterinary students across the country to primary care veterinarians from around the world, our state-of-the-art lecture hall reflects our commitment to putting education first and positioning ANC as a leader in the field.


Our first strategic partner ArteMedics
One of our greatest assets at ANC is the partnerships we’ve established with companies that prioritize animal care. Each post, we will highlight one of these partners and showcase how their collaboration with ANC contributes to the best possible outcomes for your pets. This week, we’re excited to introduce ArteMedics, an innovative company that has revolutionized spinal stabilization in veterinary medicine.
Founded in 2015 by Ben Arcand and Emily Meyering, ArteMedics was born out of their shared experiences working at a human medical device company, developing groundbreaking implants. They frequently discussed their pets and recognized the unmet needs within the veterinary medical device space. To address these challenges, Ben and Emily engaged with veterinarians and surgeons across the country, learning about the obstacles in treating animals with complex conditions. Combining Emily’s expertise in product development and Ben’s design and engineering background, ArteMedics launched the Arcas Polyaxial Screw System in early 2016, the first veterinary polyaxial screw system on the market.
ArteMedics is committed to the belief that animals deserve the same level of care as humans. The company’s mission is to provide innovative, affordable medical devices for pets where existing solutions are either limited or non-existent. Emily Meyering, with 20 years of experience in both human and veterinary medical devices, has played a pivotal role in product development, intellectual property protection, and taking products from concept to commercialization. Dr. Ben Arcand, a PhD in mechanical engineering and an acclaimed inventor, has contributed to over 30 medical device patents. Together, their expertise has positioned ArteMedics as a leader in veterinary medical innovation, driven by a passion for improving care through creativity and cutting-edge technology

Case Study: ArteMedics in action
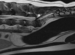
Holly, a 6-year-old German Shepherd, was brought in for evaluation due to pain and reluctance to use her left hind leg. Her discomfort became more pronounced after strenuous activities, such as jumping onto elevated surfaces. Upon examination, decreased muscle tone and strength were noted in her limb, along with atrophy in her gluteal and hamstring muscles. An MRI revealed that Holly was suffering from lumbosacral stenosis (LSS), a common condition in German Shepherds, comparable to sciatica in humans. The nerves affecting her back legs and tail were being compressed between the last lumbar vertebra and the sacrum (tailbone). The compression worsened when Holly bent backward, as in jumping, but improved in a flexed or fetal position.
The recommended treatment was surgery to relieve the pressure on the nerves and stabilize the moving segment in the more comfortable flexed position. Polyaxial screws and rods from the Arcas System by ArteMedics were used to align and fix the bones in the ideal position. Holly recovered quickly and was able to go home the day after surgery. We are thrilled with her new mobility and look forward to her long-term comfort.

We hands down have the best Stef, I mean Staff!
Meet Stephanie Kerley, a seasoned veterinary technician with a heart of gold and a love for all creatures, big and small. Since graduating from Jefferson College in 1992, she’s been caring for the furry residents of St. Louis with dedication and joy for over 32 years. She has experience in all levels of veterinary care from general practice to critical care management.
Despite this vast expertise, her passion lies in neurology where she faces daily challenges that keep her on her toes. Whether it’s helping a dog or cat regain their ability to walk or simply providing comfort to her patients, Steph finds fulfillment in every moment.
Outside of work, Steph enjoys exploring the outdoors with her husband and two daughters. Their home is a lively sanctuary filled with three dogs and a cat, each adding their own special touch to the family dynamic.
Now, Steph is excited to re-join Dr. Wininger, eager to continue her journey of helping neuro patients and making a difference in their lives. She is our lead technician, training colleagues the nuance of caring for the neurologic patient. We are grateful to have the value she brings to the ANC and the St. Louis veterinary community.
Please keep an eye on your instagram and facebook as we share our progress. We’re excited to share all of the exciting happenings around the center.


